Cosmetic Dentistry

At Marsfield Dental Care, our cosmetic dentistry in Sydney helps families, children, and adults achieve brighter, more confident smiles. Whether you’re looking to fix minor imperfections or completely transform your smile, our experienced dental team provides tailored cosmetic dentistry treatments designed to meet your needs. From teeth whitening and veneers to Invisalign and full smile makeovers, we’re committed to delivering results that look natural and last. Book a consultation today and discover how our trusted team can help you achieve the smile you’ve always wanted.

null

Quality Treatment

null

Gentle Care

null

Positive Reviews

null

Quality Treatment

null

Gentle Care

null

Positive Reviews

Book an Appointment

Professional Cosmetic Dentistry Service

Our cosmetic dentistry services in Sydney are focused on both aesthetics and oral health. At Marsfield Dental Care, we understand that your smile is one of the first things people notice. That’s why we offer a complete range of general cosmetic dentistry procedures to correct discolouration, chips, gaps, and misalignment.

Some of the most popular options include:

  • Teeth Whitening – Fast, safe, and effective solutions for brighter smiles.
  • Porcelain Veneers – Long-lasting covers that correct cracks, gaps, or uneven teeth.
  • Invisalign Clear Aligners – Subtle orthodontic treatment for adults and teenagers.
  • Smile Makeovers – Comprehensive treatment plans combining multiple solutions.

Every treatment is performed with advanced technology and strict adherence to Australian dental standards. Our team follows guidelines set by the Australian Health Practitioner Regulation Agency to ensure your safety and peace of mind. Choosing Marsfield Dental Care means choosing expertise, precision, and results tailored to your lifestyle.

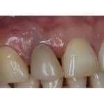
BEFORE AFTER

Advanced Cosmetic Dentistry Treatment

Patients often ask, “What makes Marsfield Dental Care one of the best cosmetic dentistry providers in Sydney?” The answer lies in our personalised care, state-of-the-art equipment, and years of experience.

We go beyond standard dental cosmetic dentistry by offering advanced treatments such as digital smile design and gum contouring. These modern approaches let you preview your smile makeover before treatment begins, giving you confidence in the outcome.

Key benefits include:

  • Improved self-esteem and confidence
  • Natural-looking results with minimal downtime
  • Flexible payment options, including interest-free plans
  • Long-term results supported by regular maintenance

Whether you’re interested in whitening, straightening teeth, or a full transformation, our clinic ensures that every patient receives comprehensive advice and a customised treatment plan. Marsfield Dental Care is more than a cosmetic dentistry clinic—it’s a place where patients feel supported and cared for throughout their journey.

Discover Our Cosmetic Dentistry

At our Sydney practice, we combine the science of dentistry with the art of aesthetics. Our cosmetic general dentistry procedures are carefully selected to match your oral health goals, budget, and timeframe.

Some of the treatments we provide include:

  • Composite bonding for chips and gaps
  • Invisalign clear aligners
  • Teeth whitening 
  • Porcelain crowns and veneers
  • Dental implants for missing teeth
  • Complete smile makeovers

Our reputation as a top cosmetic dentistry provider is built on precision and patient satisfaction. We’ll guide you through every step, ensuring you know the benefits, costs, and timelines. With Marsfield Dental Care, you can trust that your smile is in the best hands.

What to Expect After Cosmetic Dentistry Procedures

After completing your treatment, patients often wonder about recovery and aftercare. At Marsfield Dental Care, we make sure every patient leaves with clear instructions and support.

What you can expect:

  • Minimal downtime for most treatments
  • Temporary sensitivity after whitening or bonding
  • Adjustment periods for veneers or Invisalign
  • Regular check-ups to maintain results

Our goal is to make cosmetic enhancements as comfortable and convenient as possible. Whether it’s maintaining your whitening results or caring for your new veneers, our friendly team will guide you every step of the way.

How Marsfield Dental Care Helps with Cosmetic Dentistry

At Marsfield Dental Care, we don’t just offer cosmetic dentistry—we deliver stunning results backed by expertise and advanced technology. Our experienced team combines precision, innovation, and a patient-first approach to create confident, healthy smiles for children, adults, and families alike.

Ready to enhance your smile? Trust our qualified dental professionals in Cosmetic Dentistry—contact Marsfield Dental Care today and take the first step toward your best smile.

What Is the Process of Cosmetic Dentistry?

Every smile is unique, which is why our process is designed to be flexible and tailored:

  1. Initial Consultation – Discuss your goals and examine your oral health.
  2. Treatment Plan – Customised options presented with transparent costs.
  3. Procedure Day – Comfortable and stress-free environment with advanced techniques.
  4. Aftercare – Guidance to ensure long-lasting results.

This approach ensures every treatment is effective, safe, and suited to your lifestyle.

Why Choose Marsfield Dental Care

Choosing the right clinic is essential when it comes to cosmetic dental care. At Marsfield Dental Care, we combine clinical expertise, cutting-edge technology, and a welcoming environment to deliver life-changing results. We’re not just another provider of cosmetics dentistry in Sydney—we’re your partner in creating a smile you’ll love for years to come. Ready to take the next step? Book your consultation today and start your journey to a confident, beautiful smile.

Frequently Asked Questions

Cosmetic dentistry focuses on improving the appearance of your teeth, gums, and smile.

Most procedures are minimally invasive and cause little to no discomfort.

Costs vary by treatment. Whitening is affordable, while veneers and implants are more expensive.

With proper care, veneers last 10–15 years, whitening 6–12 months, and implants a lifetime.

Yes, but options are limited to safe treatments such as orthodontics or minor bonding.

General dentistry focuses on health; cosmetic dentistry focuses on aesthetics.

Regular check-ups, good oral hygiene, and avoiding staining foods help.

Most treatments have no downtime—you can return to work the same day.

Yes. All procedures are performed under strict safety standards and are tailored to your oral health.

(02) 9887 1961